외과의사 서수한입니다.
오늘은 충수돌기염 천공으로 인한 복막염 환자가 응급실로 왔습니다.
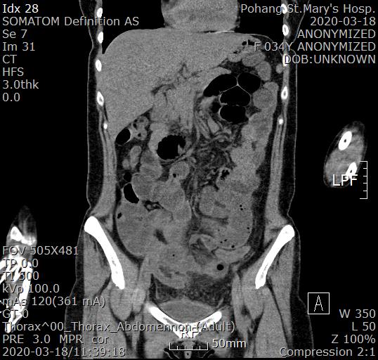
34세 여자 분입니다. 특별한 기저 질환은 없던 분인데 5일전부터 복통이 있었고 동네병원 진료 후 장염이라는 얘기듣고 지내다가 복통에 열도 나서 본원 응급실로 내원했던 분입니다.
문제는 이분이 본원 응급실 오기전에 포항의료원에서 코로나 검사를 하고 나서 저의 병원으로 전원된 환자라는 사실입니다.
격리된 방에서 진찰을 시행하니 하복부 전반에 심한 압통과 반발통이 있었습니다.
복부 CT 검사를 진행했습니다.

조영제를 사용하지 않고 CT검사를 진행했는데 충수돌기염 천공으로 인한 복막염이 의심되는 상황입니다.
충수돌기염은 흔히 맹장염으로 알고 있는 질환이며 염증이 심한 경우 충수돌기에 구멍이 생기게 되고 이를 천공이라 합니다.
물론 천공이 진행되고 나면 장내 물질이 복강내로 누출되면서 복막염을 유발합니다.
빨리 수술을 해야 되는 상황입니다.
다행히 흉부 CT 상에서는 폐렴소견은 관찰되지 않았습니다.
그래도 코로나 검사를 해 놓은 상태라 혹시 몰라서 수술실에서 단단히 준비를 하고 진행합니다.

마취과 과장님과 간호사입니다. N95마스크 착용하고 보호복을 입고 진행합니다.

외과 치료사, 역시 준비 중입니다.

스크럽 간호사들 역시 확실한 준비를 하고 수술 진행합니다.

복강경 수술로 진행합니다.
복강내로 접근하자 염증으로 인해 대망(복강내에 있는 큰 지방조직)이 복벽에 유착되어 있습니다.

조심스럽게 떼어냅니다.

충수돌기가 보입니다. 주위에 염증으로 인해 오염된 모습입니다.

소장과 충수돌기가 염증으로 유착되어 조심스럽게 떼어냅니다.

충수돌기가 완전히 노출된 모습입니다.

충수돌기의 대장 연결부위를 Endo-loop(충수돌기 기저부를 결찰하는 제품명)를 이용하여 결찰합니다.

결찰된 충수돌기 원위부를 절제해 냅니다.

Pouch(비닐봉지)에 담아 복강 밖으로 제거합니다.

충수돌기 기저부의 대장 연결부위가 잘 처리 됐네요.

오염된 복강내를 깨끗히 씻어주고 배액관을 삽입한 후 수술을 종료합니다.
수술은 특별한 문제 없이 잘 끝났습니다.
내일 쯤이면 코로나 바이러스 검사 결과가 나옵니다.
음성이길 기대합니다.
'의학' 카테고리의 다른 글
| 위궤양 천공에 의한 복막염, 복강경 수술 (0) | 2020.03.21 |
|---|---|
| 복강경 서혜부 탈장 수술 (94세 남자) (0) | 2020.03.20 |
| 여성형유방(여유증) 수술 (0) | 2020.03.19 |
| 갑상선 종양 수술 (0) | 2020.03.16 |
| 화농성 한선염 (Hidradenitis suppurativa) (0) | 2020.03.13 |