포항성모병원 외과 서수한입니다.
오늘 말씀드릴 환자분은 55세 여자분으로 식후 불편감 및 상복부 통증 주소로 개인병원 내과에 내원하여 시행한 초음파상 담석, 만성 담낭염 소견이 있어 저희 병원에서 복강경 담낭 절제 수술을 시행했던 환자분입니다.
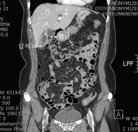
수술전에 해부학적 구조를 확인하기 위해 복부 CT를 시행했습니다.

간 아래쪽으로 담낭(Gall bladder)이 보입니다. 담낭벽이 만성 염증으로 두꺼워지면서 희게 보입니다. 만성 담낭염 소견입니다. 또 담낭안에 하얀 점으로 보이는 담석도 확인됩니다. CT 판독은 만성 담석성 담낭염(Chronic calculous cholecystitis) 소견입니다.
복강경 담낭 절제술을 시행했습니다.
복강내에 CO2 가스를 주입하여 기복(Pneumoperitoneum)을 만듭니다. 투관침 3개를 삽입하고 복강경 담낭절제술을 시행합니다.

간 후벽에 담낭이 보입니다. 만성 담낭염으로 인해 십이지장(Duodenum)이 담낭에 유착되어 있어 조심스럽게 박리를 시행합니다.

총담관(Common bile duct)로 연결되는 담낭관(Cystic duct)를 박리하여 노출시킵니다.
총담관은 복강경 담낭절제술시에 손상을 주지 말아야 하는 구조물입니다.
만약 총담관이 손상될 경우에는 담도를 재건해 주는 수술을 해야 하는데 복강경으로 진행하기는 기술적으로 어렵습니다.
그래서 상복부를 절개하는 개복 수술로 전환하여 총담관과 소장을 연결하는 담관소장문합술(Hepaticojejunostomy)를 시행하게 됩니다. 물론 이런 상황까지는 가지 않는 것이 환자에게도 좋고 수술하는 의사도 좋습니다.

조심스럽게 담낭관을 박리한 후 클립으로 담낭관을 여러번 결찰합니다. 저는 담당관 절단부위가 풀리지 말라고 클립을 3개나 사용하여 결찰합니다.
클립으로 결찰 후에 담낭관을 절제합니다.

담낭관이 절제되었습니다. 총담관 손상없이 잘 절제되었습니다. 또 한가지 주의해야 할 구조물은 담낭을 먹여살리는 담낭동맥(Cystic artery)인데 역시 클립을 사용해서 출혈이 되지 않게 잘 결찰합니다.
모든 수술 시간동안 집중해야 하지만 담낭관과 담낭동맥을 처리할 때 정말 집중해서 수술을 해야 합니다. 담낭관과 담낭동맥이 잘 처리되고 나면 수술은 90프로는 끝난 것이라고 생각하시면 됩니다.

이제는 한숨 돌리면서 간 후벽에 붙어 있는 담낭을 조심스럽게 박리합니다.

간후벽에서 분리된 담낭을 파우치에 담은후에 복강 밖으로 빼냅니다.

담낭을 분리한 간후벽에 출혈이 잘 생깁니다. 지혈을 합니다. 잘 지혈이 되었고 총담관 손상 없이 수술이 잘 끝났습니다.
환자는 특별한 문제없이 회복될 것으로 생각됩니다.
환자의 빠른 회복을 기원합니다.
'의학' 카테고리의 다른 글
| 담낭결석과 총담관결석이 함께 있는 환자의 치료 (0) | 2020.07.14 |
|---|---|
| 담낭염과 서혜부탈장 동시 복강경 수술 (0) | 2020.07.02 |
| [포항 갑상선] 되돌이 후두 신경(Recurrent laryngeal nerve) 손상에 대해 알아보자! (0) | 2020.05.19 |
| 소아 장중첩증(Intussusception) 복강경 수술 (4) | 2020.05.16 |
| 포항성모병원 외과 서수한 과장 복강경 탈장수술 1000례 돌파 (0) | 2020.05.09 |