포항성모병원 외과 서수한입니다.
요즘 날씨가 춥습니다. 코로나도 대규모 확진자가 매일 발생하는 상황입니다.
상황이 심각하지만 저희 외과에서는 응급환자에 대한 수술은 지연없이 진행하려고 노력하고 있습니다.
오늘은 에스자결장(Sigmoid colon)에 발생한 게실염(Diverticulitis)으로 대장절제를 시행하고 회장루(Ileostomy)를 시행했던 환자에 대해 말씀드리겠습니다.
환자는 63세 여자분으로 2012년 뇌동맥류로 삼성의료원에서 수술한 병력외에 특이병력은 없던 분입니다.
2020.12.14일 본원 소화기내과에 아랫배 통증을 주증상으로 내원하셨습니다. 복부 CT예약을 하고 다음날 2020.12.15일 검사를 진행했습니다.

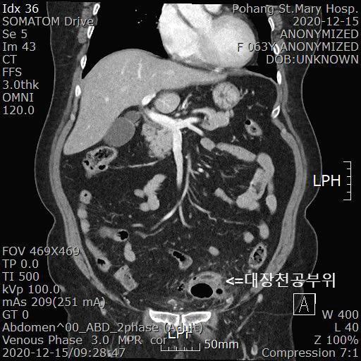
[복부 CT]
About 5.5 x 4.5 x 2.5cm sized lobulated lesion at left supravesical space, just inferior to s-colon
-- thick enhancing rim with air-fluid level, with pericolic fat haziness
-- underlying multiple diverticulosis at s-colon
--> highly suggested acute diverticulitis with perforation, result in pericolic abscess formation, s-colon
복부 CT에서 sigmoid colon에서 약 5.5cm의 천공부위가 확인됩니다. 게실염 천공 가능성이 가장 높아 보입니다.
일반적인 게실염의 경우는 수술보다는 항생제 치료를 먼저하는 경우가 많습니다. 수술을 하지않고 항생제만으로 치료가 되면 환자에게 유리하기 때문입니다.
이 환자는 천공이 의심되긴 했지만 복부 CT 촬영 당시에 복통이 심하지 않고 생체징후가 안정적이어서, 금식을 유지하고 항생제를 먼저 사용해 보기로 했습니다.
주사 항생제를 약 4일정도 사용하면서 특별한 통증 없이 잘 유지되는 듯 했습니다.
그러나 항생제를 치료 5일째에 갑자기 복통이 심해졌습니다.
복강내의 상황을 확인해 보기위해 다시 복부 CT를 시행했습니다.

[복부 CT]
Perforated diverticulitis with a 5.8 cm pericolic abscess at S-colon
- interval aggravation since 2020-12-15
에스자 결장 천공부위가 사이즈가 5.8cm으로 커지면서 천공이 더 심각하게 진행하는 상황입니다.
이런 상황에서는 항생제 치료로는 환자의 안전을 보장하기가 어렵습니다.
응급수술을 계획하고 환자 보호자에게 현재 상황에 대해 설명드리고 수술동의서를 작성했습니다.
오후에 수술을 진행합니다.
복강경으로 접근합니다.

방광(Bladder)에 염증으로 인해 유착되어있는 에스자결장(Sigmoid colon)이 확인됩니다.

복강경으로 진행중에 염증으로 약해져있는 에스자결장이 확인됩니다.
복강경으로 수술을 진행하기가 어려워 개복 수술로 전환했습니다.

에스자 결장이 확인되고 천공부위도 확인됩니다.
천공부위를 포함한 에스자결장을 절제합니다.

잘라내고 남은 대장을 연결하는 과정을 문합(Anastomosis)라고 하는데요. 이 환자의 경우는 절제면과 절제면을 연결하는 단단문합(End-to-end anastomosis) 시행하고 있습니다.
일반적으로 항문에 자동문합기를 사용하여 문합을 시행하는 경우가 많은데 이 환자의 경우는 대장 길이가 충분하여 손으로 직접 봉합을 시행했습니다. 손으로 봉합하는 경우에 자동문합기를 사용하는 경우보다 훨씬 튼튼하게 문합이 시행될 수 있습니다.

문합이 깔끔하게 잘 되었습니다.
하지만 아직 수술이 끝난게 아닙니다.
염증이 심한 대장을 자르고 다시 연결하게 되면 대장내에 대변이 지나가게 되면서 문합된 부위가 잘 아물지 않고 터질 수 있습니다.
이런 상황을 미리 예방하기 위해 문합부위에 대변이 지나가기 않게 인공항문을 만드는 시술을 하게 됩니다.
인공항문은 일반적으로 문합부위의 근위부(Proximal)에 만들게 되는데 대변을 문합부에 지나가기 전에 복강밖으로 제거하게 되어 문합부위가 아물동안 문합부위를 깨끗하게 관리하는 역할을 하게 됩니다.
이환자의 경우는 회장루를 만들었습니다.

위 그림에서 보시듯이 대장으로 인공항문을 만드는 과정을 대장루(Colostomy)라고 하며, 소장을 이용하여 인공항문을 만드는 경우에 회장루(Ileostomy)라고 합니다.
이 환자의 경우에는 Simoid colon을 자르고 문합하였기 때문에 인공항문을 만들경우에 Sigmoid colon을 기준으로 근위부 대장 or 회장루가 가능한 상황입니다.
그러면 왜 이 환자는 대장루(Colostomy)를 만들지 않고 회장루(Ileostomy)를 만들었을까요? 회장루를 만들경우에 시술이 쉽고 나중에 인공항문을 복원하기 용이합니다. 그래서 회장루를 만들었습니다.

위 사진은 회장루를 만드는 과정을 그린 그림입니다. 위치는 우하복부에 만들게 되고 회장을 잘라서 복강밖으로 빼내는 End ileostomy가 아니라 자르지 않고 복강밖으로 빼내는 Loop ileostomy를 만들었습니다.

회장루를 만들고 상처를 봉합하고 3개의 배액관을 삽입했습니다.
수술은 잘 끝났습니다.

절제한 에스자결장입니다. 약 20cm 정도 됩니다.
수술은 1시간 30분 걸렸습니다.
약 6개월 후에 회장루를 복원해 드릴 계획입니다. !!!!!!!!
환자의 빠른 회복을 기원합니다.
'의학' 카테고리의 다른 글
| 맹장염(충수돌기염)과 동반된 담낭염 동시 복강경 수술 (0) | 2020.12.25 |
|---|---|
| [포항 갑상선암] 근육(Strap muscle)을 침범한 갑상선 유두암 수술 (0) | 2020.12.25 |
| 폐쇄구멍(=폐쇄공) 탈장(Obturator hernia) 복강경 수술 (1) | 2020.12.17 |
| [포항 담낭제거] 담낭선근종증(Adenomyomatosis) 수술(feat. 담낭염) (0) | 2020.11.19 |
| [포항 담석증] 79세 남자 총담관결석 제거후 복강경 담낭절제술 (0) | 2020.11.10 |