포항성모병원 외과 서수한 입니다.
오늘은 담낭용종의 치료에 대해 말씀드립니다.
담낭용종이란 담낭 점막에서 담낭 안쪽으로 돌출되는 모든 혹을 말합니다.
대부분은 증상이 없어서 우연히 복부 초음파나 복부 CT에서 확인되는 경우가 많습니다.
담낭용종 치료의 핵심은 이 용종이 암이 될 가능성이 있나 없나를 확인하는 작업입니다.
수술을 하지 않아도 되는 용종을 비종양성 용종, 수술이 필요한 용종을 종양성 용종이라고 합니다.
암 가능성이 조금이라도 있다면 조직검사를 해야 하는데 담낭용종의 조직검사는 담낭을 수술로 떼내어 할 수 밖에 없습니다.
그러면 어떤 담낭용종일때 담낭절제술을 시행할까요?
1. 용종의 크기가 1cm 이상
2. 용종의 크기가 점점 커지는 경우
3. 용종으로 인한 복통,구토,소화불량등의 증상이 있을때
4. 담석이 같이 동반된 경우
5. 담낭용종을 발견한 나이가 50세 이상일때
6. 담낭용종이 1cm 이하이더라도 무경형일때
이런 경우에 담낭절제를 시행하게 됩니다.
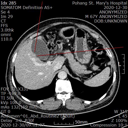
환자는 67세 남자분입니다.
건강검진으로 시행한 초음파상 약 1cm 의 담낭 용종으로 수술을 권유받고2020.12.29일 제 외래로 오신분입니다.
복부 CT를 시행했습니다.

[복부 CT 판독]
A 1 cm flat GB polyp (Se4 #29)
---> Recommendation : Cholecystectomy to rule out GB cancer
담낭에 flat(평평한)한 용종이 있으며 담낭암(GB cancer)의 가능성이 있어 담낭절제를 시행하라는 소견입니다.
2021.1.11일 복강경 담낭절제술을 시행했습니다.
용종이 있을때 담낭 절제 수술은 담낭에 구멍을 내지 않고 간 후벽으로 부터 깨끗하게 절제해 내야 하는것이 수술의 핵심입니다.
정확한 조직학적 진단을 하려면 떼어낸 담낭이 간에 남지 않고 깨끗하게 제거되어야만 합니다.
혹시최종 조직검사에서 담낭암으로 진단되는 경우 암세포가 담낭벽을 얼마나 침범했나 여부에 따라 추가적인 수술을 해야하는 경우가 있기 때문입니다.

담낭을 확인합니다.

담낭관을 정확히 박리하여 결찰합니다.

간후벽에서 담낭을 분리해냅니다.

깨끗하게 담낭이 절제된 모양입니다.

담낭은 천공 없이 깔끔하게 제거되었습니다.
화살표를 기준으로 왼쪽이 간 후벽에 붙어 있던 담낭 부분입니다.
제 입으로 말씀드리기 부끄럽지만 스스로도 만족스러운 수술 이었습니다.
수술 시간은 30분 걸렸습니다.

병리과장님이 염색하시고 올려 주신 사진입니다. 용종이 잘 보입니다.

병리과장님이 올려주신 현미경 사진입니다.
[조직검사 결과]
Gross : Submitted is a gallbladder (7x4cm). The lumen is filled with
green colored bile juice. There is a yellowish lobulated polyp(1x0.7cm)
in the body mucosa. Stone is not submitted. Blocked in A.
Diagnosis :
Gallbladder, laparoscopic cholecystectomy :
1) Mixed polyp with
Pyloric gland adenoma and Cholesterol polyp.
2) Chronic cholecystitis
다행히 최종 조직검사 결과 담낭암은 아니었고 Mixed polyp 이었습니다.
이런 경우 추가 수술은 필요없습니다.
환자는 모두 회복되어 잘 퇴원하셨습니다.
'의학' 카테고리의 다른 글
| [경주 담낭] 담석증, 담낭염 (0) | 2021.01.20 |
|---|---|
| [포항 유방] 진공보조유방생검(맘모톰)에서 진단된 관상피내암의 수술적 치료 (0) | 2021.01.18 |
| [포항 담낭] 도자담낭(Pocelain GB)은 담낭절제를 해야 하는가? (0) | 2021.01.14 |
| 원발성부갑상선기능항진증 수술 치료 (0) | 2021.01.08 |
| [영덕 담낭염] 급성 담석 담낭염 복강경 수술(feat. 담낭수종) (0) | 2021.01.07 |