포항성모병원 외과 서수한입니다.
오늘은 제목대로 원발성 부갑상선기능항진증(Primary hyperparathyroidism)의 수술 치료 환자에 대해 말씀드립니다.
원발성 부갑상선기능항진증에 대해 이전 포스팅이 있어 링크를 걸어드립니다.
부갑상선 절제술(Parathyroidectomy)
포항성모병원 외과 서수한입니다. 오늘 말씀드릴 분은 54세 여자분으로 원발성 부갑상선 기능항진증으로 오늘 오전에 부갑상선 절제술을 시행한 분입니다. 원발성 부갑상샘 기능항진증 (Primary
ssh7220.tistory.com
환자분은 55세 여자분으로 우연히 검진으로 시행한 경부 초음파상에서 우측 갑상선에 결절이 있다고 추가검사를 해보라고 했다고 하시네요.
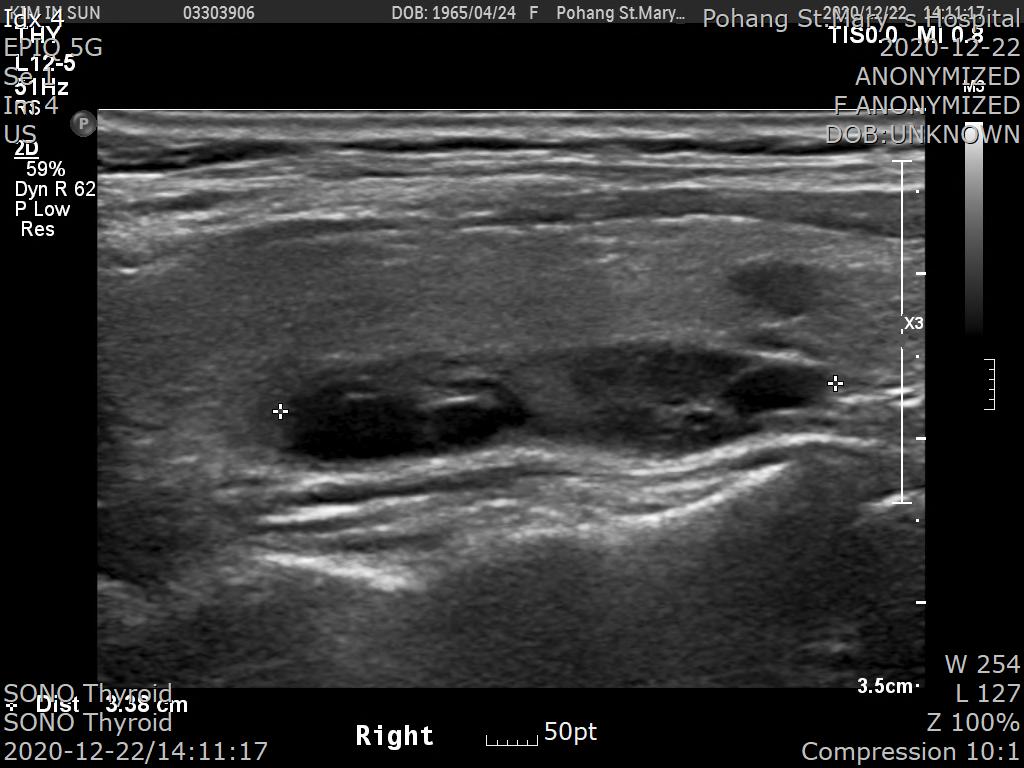
2020.12.21일 제 외래로 오셔서 초음파를 시행했습니다.

[경부초음파 판독]
About 3.5 cm lengthed elongated cystic lesion, inferior to right thyroid
; R/O Parathyroid nodule
; FNA was done.
REC) Check PTH and calcium level
우측 갑상선 뒤쪽으로 약 3.5cm 길이의 종양이 발견되었고 부갑상선 종양이 의심된다는 소견입니다.
부갑상선 선종(Parathyroid adenoma)인 경우에 부갑상선호르몬(PTH, Parathyroid hormone)분비가 많아지고 이 결과 혈중 칼슘농도도 증가하게 됩니다.
일단, 세침흡인생검을 했고 혈액검사도 진행했습니다.
PTH-I 274.00 pg/ml (정상치 : 15 ~ 65)
iCa 1.59 H mmol/L (정상치 : 1.12 ~ 1.32)
Ca 12.1 H mg/dL (정상치 : 8.2 ~ 10.8)
P 3.2 mg/dL (정상치 : 2.5 ~ 5.5)
PTH, 이온화칼슘(iCa), 칼슘 수치가 정상치보다 크게 증가했습니다. 세침흡인생검에서는 악성을 시사하는 소견은 없었습니다.
수술전 경부 CT를 시행합니다.

[경부 CT 판독]
- Right thyroid gland후방으로 3.5x2.2x1.4cm의 low attenuation mass가
보이며 , diffuse한 enhancement를 보이나 thyroid gland보다는 low attenuation을
보이고 있음.
Imp.) R/O Parathyroid adenoma, more likely
DDx) Parathyroid hyperplasia
우측 갑상선 뒤쪽으로 부갑상선 선종으로 추정되는 종물이 보입니다.
2021.1.7일 수술을 진행했습니다.

수술실에서 절개 직전 사진입니다.

피부 절개를 하고 갑상선을 싸고 있는 띠근육(strap muscle)을 열면 갑상선이 보입니다.

갑상선 우엽(Right lobe)을 왼쪽으로 젖힙니다.

우엽 뒤쪽으로 부갑상선 종양이 확인됩니다.

되돌이 후두신경(Recurrent laryngeal nerve)을 손상되지 않게 조심스럽게 부갑상선 종양을 박리합니다.

부갑상선 종양을 모두 제거하고 피부 봉합을 마쳤습니다.

제거한 부갑상선 종양입니다.
수술은 성공적으로 잘 마쳤습니다.
수술시간은 30분 걸렸습니다.
오늘은 수술 후 1일째인데
혈액검사에서 아래 소견으로 모두 정상화되었습니다.
iCa(BG) 1.31 mmol/L
Ca 9.1 mg/dL
PTH-I 30.70 pg/ml
환자의 빠른 회복을 기원합니다.
'의학' 카테고리의 다른 글
| 담낭용종(GB polyp) 복강경 수술 (0) | 2021.01.18 |
|---|---|
| [포항 담낭] 도자담낭(Pocelain GB)은 담낭절제를 해야 하는가? (0) | 2021.01.14 |
| [영덕 담낭염] 급성 담석 담낭염 복강경 수술(feat. 담낭수종) (0) | 2021.01.07 |
| 범복막염(Panperitonitis)로 진행한 충수돌기염에서 복강경 수술이 가능한가? (0) | 2021.01.02 |
| 맹장염(충수돌기염)과 동반된 담낭염 동시 복강경 수술 (0) | 2020.12.25 |