포항성모병원 외과 서수한입니다.
오늘 오전에 수술 중인데 외래에서 급하게 저를 찾는 전화가 왔습니다.
출생했던 산부인과병원에서 우측 서혜부에 덩어리가 만져져서 서혜부 탈장소견으로 내원한 여자 아기였습니다.
서혜부 탈장이 의심되는 소견이었습니다.
급히 초음파를 시행했습니다.


▶SONO Inguinal
1. inguinal hernia of ovary, right
-- no definite evidence of torsion
초음파 판독상 우측 난소가 탈장 구멍에 낀 감돈(Incarcerated) 탈장입니다. 감돈이라는 말은 좁은 통로에 끼어 있다는 뜻입니다. 손으로 탈장된 구조물을 복강내로 밀어넣는 도수 정복을 시도하였으나 잘 되지 않았습니다. 다행인건 난소에 혈류가 유지되어 괴사되지 않았다는 사실입니다.
이런 경우 수술이 늦어지면 교액성(Strangulated) 탈장으로 진행합니다. 교액성탈장이란 감돈된 상태가 오래되어 감돈된 조직에 피가 가지 않아 조직이 괴사가 되는 상태를 말합니다.
이럴 경우 우측 난소가 괴사되고 수술시 우측 난소도 함께 절제하여야 하는 경우도 생길 수 있습니다.
마음이 급해집니다. !!
문제는 마취인데 여아가 36주에 미숙아로 출생했고 출생한지 57일된 아기고 5.2kg으로 체중도 작아서 마취과 과장님께 미리 말씀드려야 겠네요.
마취과 과장님께 연락드리니 상황이 급하니 빨리 진행하자고 하시네요.
마취과 과장님께 다시 한번 감사드립니다.
조심스럽게 수술을 진행합니다.

다른병원에서는 대부분 5mm직경의 카메라와 투관침을 사용하는데 저는 소아 탈장 복강경 수술에 3mm 직경의 카메라를 사용하고 복강경 투관침도 3mm직경을 사용합니다.
이렇게 하는 이유는 흉터를 최대한 줄이고자 함이고 또 절개부위가 작을수록 통증도 줄어들기 때문입니다.

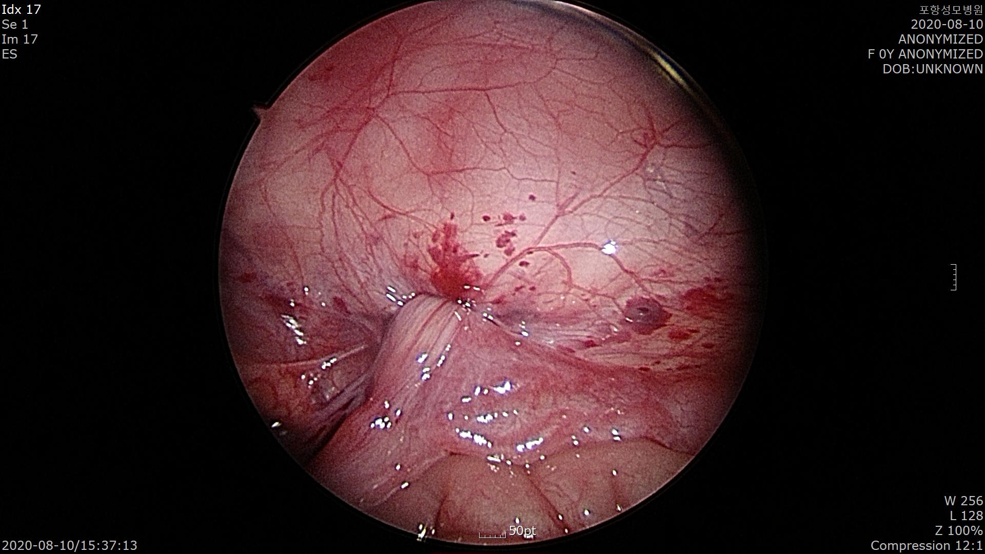
우측 서혜부 탈장이 보이고 우측 난소가 탈장구멍에 감돈되어 있습니다.


조심스럽게 감돈된 우측 난소를 탈장구멍에서 빼냅니다.



Laparoscpic needle assisted repair기법으로 내서혜륜(Internal inguinal ring)을 봉합해 줍니다.

우측 난소가 약간 부어있지만 혈류는 잘 유지되어 괴사까지 진행하지는 않았습니다.
정말 다행입니다.

반대편 서혜부를 확인해 보니 왼쪽에도 탈장이 있네요. 이렇게 한쪽 탈장 수술 중 반대편이 발견되는 경우가 약 40%정도 됩니다. 꽤 많습니다.
이럴 때는 복강경 수술이 참 좋습니다. 개복 수술 때는 반대편 탈장을 확인 할 수가 없지요.

잘 봉합했습니다.
수술 후 약 4시간 후면 모유나 분유를 먹을 수 있습니다.
아기의 빠른 회복을 기원합니다.
'의학' 카테고리의 다른 글
| 담낭축농(GB empyema) 환자에서 복강경 담낭절제술 (0) | 2020.08.25 |
|---|---|
| [포항 갑상선 기능항진] 41세 여자 갑상선기능항진증 (그레이브스병) 수술 (0) | 2020.08.11 |
| 이전 수술 병력으로 복강내 유착 심한 환자에서 복강경 담낭절제술 (2) | 2020.08.04 |
| 맘모톰 시술 논란에 대한 칼럼 (0) | 2020.07.31 |
| 담낭결석과 총담관결석이 함께 있는 환자의 치료 (0) | 2020.07.14 |