포항성모병원 외과 서수한입니다.
새해가 밝았습니다.
나이만 먹어서 서럽습니다. TT
오늘은 충수돌기염(맹장염)이 천공이 되어서 범복막염(Panperitonitis)으로 진행된 환자에서 시행한 수술에 대해 말씀드리겠습니다.
환자분은 특별한 병력 없이 지내던 분으로 2020.12.29일 오후부터 시작된 복통으로 2020.12.30일 동네 내과병원 내원하였다가 충수돌기염이 의심된다는 말씀을 들으시고 바로 본원 응급실로 오셨던 분입니다.
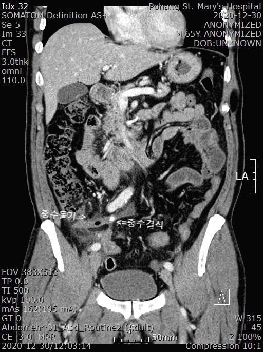
응급실에서 복부 CT를 시행했습니다.

[복부CT 판독]
A 1.1cm, dilated appendix with enhancing wall thickening, periappendiceal fat infiltration and two appendicoliths.
: Perforated appendicitis.
충수돌기가 보이고 염증이 심한 상태이며 충수돌기안에 충수결석(Appendicolith)이 보입니다. 결석이 충수돌기를 막으면서 염증이 발생할 수 있습니다.
또 충수돌기 주위에도 지저분하게 보이는 염증 소견이 보입니다.
고민할 이유가 없습니다.
바로 수술을 준비했습니다.
복강경으로 접근했습니다.

복강내에 충수돌기염 천공으로 인해 복막염으로 진행되었으며 복막염이 전 복강에 다 진행된 경우에 범복막염(Panperitonitis)라고 합니다.
이 환자의 경우는 범복막염입니다.
복통이 시작된지 하루밖에 되지 않았는데도 굉장히 염증이 빨리 진행된 경우입니다.

염증이 있는 대망(Greaster omentum)을 걷어내고 충수돌기를 확인합니다.
염증으로 인해 주위 조직에 유착이 되어 있고 천공부위도 확인됩니다.

충수돌기를 들어올리고 엔도루프(Endo-loop)를 이용하여 충수돌기 기저부를 결찰합니다.
충수돌기를 제거하고 파우치를 이용하여 복강밖으로 제거했습니다.
이분은 범복막염이라 이제부터가 수술의 중요한 부분입니다.
복강내에 퍼진 염증을 모두 씻어 주어야 합니다.

생리식염수를 복강내에 뿌려서 깨끗하게 될 때까지 씻어 줍니다.
물론 이런 과정들을 예전에는 개복하여 진행했으나 현재는 어느정도 경험이 있는 외과의사라면 복강경으로도 충분히 시술이 가능합니다.

간 아래에 담낭이 보이고 간 주위에도 염증이 있어서 환자 포지션을 변화시키면서 염증을 씻어내 줍니다.

많이 깨끗해 졌죠?

최종적으로 배액관을 삽입하고 수술을 종료합니다.
약 5L의 생리식염수로 복강을 씻었습니다.
범복막염이 있는 환자분도 충분히 복강경 수술로 가능합니다.
환자는 특별한 문제 없이 잘 회복되고 있습니다.
환자의 빠른 회복을 기대합니다.
'의학' 카테고리의 다른 글
| 원발성부갑상선기능항진증 수술 치료 (0) | 2021.01.08 |
|---|---|
| [영덕 담낭염] 급성 담석 담낭염 복강경 수술(feat. 담낭수종) (0) | 2021.01.07 |
| 맹장염(충수돌기염)과 동반된 담낭염 동시 복강경 수술 (0) | 2020.12.25 |
| [포항 갑상선암] 근육(Strap muscle)을 침범한 갑상선 유두암 수술 (0) | 2020.12.25 |
| 대장 천공 수술(feat. 게실염) (3) | 2020.12.22 |