포항성모병원 외과 서수한입니다.
오늘은 말씀드릴 분은 39세 여자분인데요. 급성 담석성 담낭염으로 복강경 담낭절제술을 시행한 분으로 수술 후에 다량의 담석이 발견되었던 환자분에 대해 말씀드리겠습니다.
오늘 오전에 외래로 내원하셨구요. 우상복부 통증을 주 증상으로 내원하셨습니다.
동네 내과에서 초음파를 시행하셨고 초음파상에서 담석이 보이고 담낭벽이 두꺼워져 급성 담석 담낭염이 의심되어 저희 병원 외과로 의뢰된 분입니다.
진찰상 우상복부 압통이 있었고 Murphy sign도 명확했습니다.
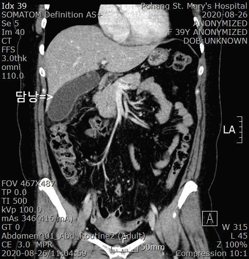
복부 CT를 진행했습니다.

복부 CT 판독 소견
GB distension & wall thickening with pericholecystic fat stranding
---> Acute cholecystitis, suggested
담낭이 염증으로 부풀어 있고 담낭벽도 두꺼워져 있습니다. 급성 담낭염에 합당한 소견입니다.


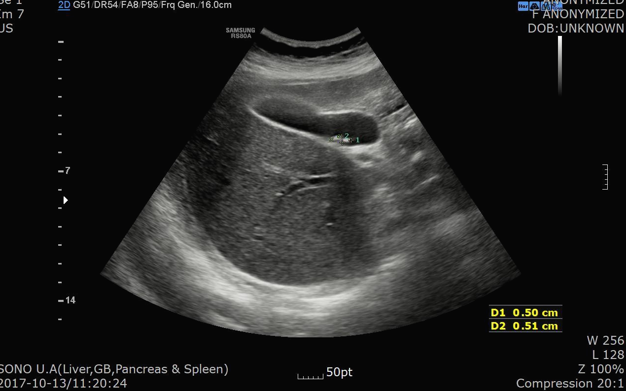
2017.10.13일 복통으로 저희 병원에서 시행한 복부 초음파가 있어서 비교를 해보니 당시 판독 소견은 아래와 같습니다.
복부초음파 판독소견
Two small GB stones (about 5 mm)
- no evidence of cholecystitis
담낭내에 5mm 크기의 담석이 2개 있으면서 담낭염 소견은 명확하지 않다는 소견입니다.
2017년 초음파 검사 후에도 자주 복통이 발생했다고 하며 최근에는 동네병원 내과에서 진통제를 맞기도 했다고 합니다.
통증이 심해 오늘 오후 2시에 응급수술을 시행했습니다.

복강내에 카메라를 넣고 확인해 보니 염증이 심해 복강내에 있는 지방조직(대망, Greater omentum)이 담낭에 들러 붙어 있습니다.

조심스럽게 대망을 박리해서 담낭과 분리를 시킵니다. 담낭이 드러납니다. 일부 담낭벽에 괴사(Necrosis)가 있습니다. 담낭벽에 약간 회갈색으로 보이는 부분이 괴사가 진행되고 있는 부분입니다.
조금더 진행되는 경우에 담낭 천공(Perforation)이 일어나 복막염(Peritonitis)로 진행할 수도 있습니다.

담낭관(Cystic duct)를 확인하고 클립을 사용하여 결찰을 합니다. 담낭관 풀리지 말라고 3번이나 클립을 사용하여 결찰합니다.

간 후벽에 붙어있는 담낭을 모두 제거했습니다. 지혈을 하고 수술을 마칩니다.
수술은 특별한 합병증없이 잘 끝났습니다.

복강밖으로 꺼낸 담낭을 확인해 보니 약 2cm 정도 되는 담석이 4개 이상 있습니다.
2017.10.13일 시행한 초음파에서는 5mm 담석이 2개 밖에 없었는데 약 3년 가까운 시간동안 담석이 많이 커지고 갯수도 늘었네요.
수술이 잘 끝났으니 환자의 통증은 이제 없어지겠네요.
환자의 빠른 회복을 위해 기도합니다.
'의학' 카테고리의 다른 글
| 86세 심장수술 기왕력 있는 여자 환자에서 복강경 담낭절제술 (1) | 2020.09.02 |
|---|---|
| 부갑상선 절제술(Parathyroidectomy) (1) | 2020.08.31 |
| 담낭축농(GB empyema) 환자에서 복강경 담낭절제술 (0) | 2020.08.25 |
| [포항 갑상선 기능항진] 41세 여자 갑상선기능항진증 (그레이브스병) 수술 (0) | 2020.08.11 |
| [포항 탈장] 생후 57일된 5.2kg 여아에서 복강경 탈장수술(feat. 우측 난소 감돈) (0) | 2020.08.10 |