포항성모병원 외과 서수한 입니다.
오늘은 간경화가 심한 환자에서 발생한 급성담낭염으로 담낭절제를 시행했습니다.
환자분은 60세 남자분으로 과거력이 많습니다.
알콜성 간경화, 당뇨, 고혈압이 있는 분입니다.
같이 지내시는 가족도 없는 분입니다.
환자가 응급실로 오신건 2021.2.5 이었습니다.
당시 대사성 산증이 심한 상태로 본원 신장내과에 입원하셨습니다.
입원하시고 나서 중환자실에서 치료하셨고 대사성 산증은 호전되었습니다.
그러나 즐겨드시던 술을 강제로 끊게 되면서 진전섬망(Delirium tremens) 나타나게 됩니다.
여기서 잠깐 진전섬망이란??
뇌의 보상성 적응 기전에 의해 발생하는 대표적인 금단증상으로 섬망, 빈맥, 발한, 혈압상승, 수족 떨림(진전)과 같은 자율신경기능 항진과 망상, 환각, 환청 등의 섬망현상이 함께 나타나는데, 이러한 증상들이 복합적으로 나타나는 것을 진전섬망이라고 합니다.
이 같은 금단현상은 보통 음주중단 후 3~7일 사이에 나타나며, 다른 내과적 합병증이 없을 경우에 10일 이내에 해소됩니다.
이런 상태가 지내시다가
환자는 복통을 호소하고 혈액검사상 염증 수치가 높아 2021.2.8일 초음파를 시행합니다.

[복부 초음파 판독]
1. liver cirrhosis with diffuse fatty change
2. diffuse GB wall thickening and mild luminal distension
-- subtle amorphous intraluminal echogenicity
--> ddx. acalculous cholecystitis or secondary change of hepatopathy
간경화(Liver cirrhosis)가 심한 소견이고 무결석 담낭염(Acalculous cholecystitis)이 의심되는 소견입니다. 담석 없이 발생하는 담낭염 소견을 무결석 담낭염이라고 합니다.
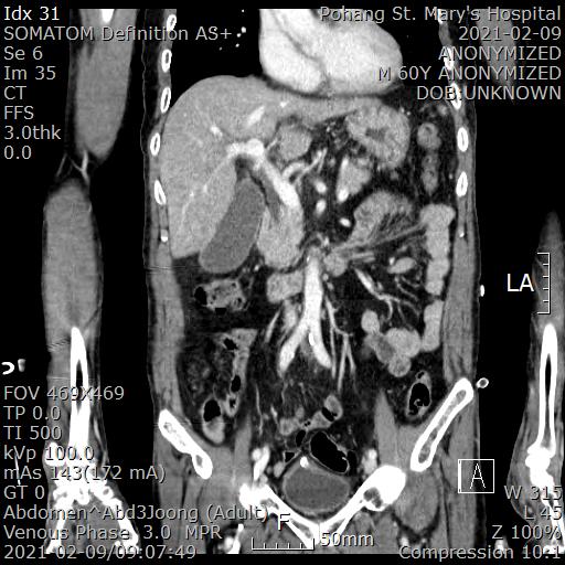
담낭염 소견이 명확하지 않아 경과 관찰하면서 지내던 중 복통이 지속되어 복부 CT를 2021.2.9일 시행합니다.

[복부 CT 판독]
1. GB distension & wall thickening
---> R/O Early finding of acute cholecystitis
2. Hepatic surface irrgularity with fatty infiltration
---> Liver cirrhosis, suggested
- no evidence of HCC
- no splenomegaly
- no ascites
여전히 담낭염 소견이 의심되는 상황이고 진전섬망 및 대사상 산증이 많이 회복되어 수술로써 담낭을 절제하는 것이 낫다는 판단을 했습니다.
그러나 또 문제가 있었습니다.
같이 지내시는 보호자 분이 없는 것이 문제였는데 여기 저기 연락처를 찾아 연락하다보니 결국 부산에 계신 환자분의 삼촌분이 연락이 닿았습니다.
보호자분께엇 병원에 오실수는 없는 상황이라 어쩔수 없이 전화로 환자상태에 대해 설명하고 수술을 진행하기로 했습니다.
간경화가 심한 분들은 수술시에 출혈 위험이 높고 회복속도가 더딥니다.
또 수술할때도 심한 출혈로 수술 시간이 오래 걸리게 됩니다.
우여곡절이 많았지만 결국 2020.2.10일 오후에 수술을 진행했습니다.

위 사진에서 보시듯이 간경화가 심해지면 원래의 매끈하고 붉은 간이 아닌 울퉁불퉁하고 딱딱한 간으로 변합니다.
간경화가 무척이나 심합니다.

담낭관을 확인하고 박리합니다.

담낭관을 결찰합니다.

간후벽에서 담낭을 분리합니다.

다행히 담낭이 잘 제거되었습니다.
간경화가 심했지만 수술은 20분 걸렸습니다.

담낭안에 담석이 없는 무결석 담낭염으로 확인되었습니다.
환자의 빠른 회복을 기원합니다.
'의학' 카테고리의 다른 글
| [포항 담낭] 타병원에서 PTGBD를 시행한 87세 여자분의 담낭염 복강경 수술 (0) | 2021.03.11 |
|---|---|
| 85세 여자분 담낭천공에 의한 복막염 수술 (0) | 2021.02.19 |
| [경주 담낭염] 48세 남자분 급성 담석 담낭염 수술 (0) | 2021.02.04 |
| 40세 여자, 요로결석 치료 후 복강경 담낭절제 (0) | 2021.01.26 |
| 68세 남자, 복강경 담낭절제술 (0) | 2021.01.26 |